每33秒出生一个缺陷儿
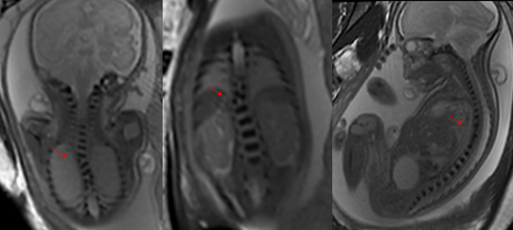
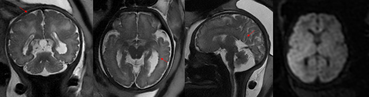
根据2012年卫生部《中国出生缺陷防治报告(2012)》白皮书指出,我国是出生缺陷高发国家之一,新生儿出生缺陷发生率约为5.6%,每年新增出生缺陷患儿约90万例,目前已知的人类出生缺陷疾病达8000—10000种。预防出生缺陷是全球重大医学课题,亦是民生健康刚需。
出生缺陷,会给家庭带来沉重的精神和经济负担,严重影响家庭的幸福和生活质量。
“经济负担倒是次要的,最主要是人的精神压力。你想一想,家里有个生病的孩子,可能需要陪他到处去看病治疗,一辈子离不开人照顾,对整个家庭会造成多么大的负担。” 湖北省妇幼医学影像科杨文忠主任解释出生缺陷家庭所背负的重担。

